虫歯治療
郡山市大槻町の虫歯治療なら|希望ヶ丘歯科
当院の虫歯治療に対する考え方
当院では「患者さまご自身の歯を大切に生かす」という理念のもと、極力抜歯を避けつつも将来のリスクを回避するために日々患者さまとの対話や中長期的に口腔内の健康維持をしてゆくための提案に重きを置いて治療にあたらせていただいております。
治療にあたっては、まず患者さまの口腔内の状態を綿密に診査し、詳しくご説明します。
患者さまとのコミュニケーションを重視し、カウンセリングを通して、納得していただける無理のない治療計画をご提示します。

痛みの少ない治療への取り組み
当院では「痛みの少ない治療」を心掛け、2段階麻酔を採用しています。まず表面麻酔で神経を麻痺させ、続いて行う麻酔注射の痛みを軽減します。
また、「今から麻酔します!」「ちょっとだけチクッとしますよ」と都度、声掛けをすることで、治療中の不安や痛みを軽減する工夫も行っています。また笑気麻酔を取り入れました。専用のマスクで鼻から笑気ガスを吸引することで、緊張が和らいだ状態で治療を受けられるようになります。
虫歯の原因と進行
虫歯の発生メカニズム
口腔内には多くの種類の細菌が常在しています。その中のミュータンス菌などの「虫歯病原菌」が、摂取した飲食物の糖分を栄養として繁殖し、細菌の塊(歯垢・プラーク)を形成します。歯垢は酸を産出して歯の表面のエナメル質を溶かします。
虫歯のなりやすさは糖分の摂取量よりも、口腔内で糖分が留まる時間の長さで決まります。そのため、歯みがきが不十分な場合など、口腔内の清掃状態が悪いと虫歯や歯周病が進行しやすくなります。
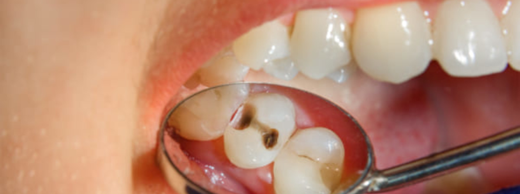
虫歯の症状と進行
初期の虫歯では、エナメル質の一部が不透明な白色に見える「ホワイトスポット」が現れますが、この段階では痛みはありません。進行すると歯の表面がやわらかくなって穴が開き、褐色から黒色に変色します。
さらに進行すると冷たい物がしみたり痛みを感じるようになり、重症化すると何も食べていないときでもズキズキとした痛みを感じます。歯の神経が壊死すると痛みは軽減しますが、根管を通じて顎の骨に炎症を起こすことがあります。
虫歯の検査は、肉眼による視診のほか、器具で触れる触診、レントゲン検査などを行います。
C1(エナメル質内の虫歯)
歯の表面(エナメル質)のみにとどまっている初期の虫歯です。 適切な予防で進行を防ぐことが可能です。 必要に応じて、最小限に虫歯部分を削り、レジン(合成樹脂)を充填します。

C2(象牙質に達した虫歯)
エナメル質の下の象牙質まで虫歯が進行した状態です。 神経(歯髄)に近づくにつれて冷たい物がしみ、痛みの自覚症状が現れます。早期発見・早期治療が重要です。
治療方法としてはレジンで充填するか、範囲が大きい場合は歯型を取り、金属やセラミックのつめ物(インレー)で修復します。

C3(神経に達した虫歯)
歯の神経(歯髄)まで進行し、炎症が起きて、日常生活に支障をきたすレベルの激しい痛みを伴うことがあります。 歯髄を除去して根管内を消毒し、シーリング材で充填します。歯はもろくなっているため、クラウンなどの被せ物で保護します。症例によっては、特殊な抗生物質で歯髄を保存する処置を行うこともあります。

C4(歯質が失われた虫歯)
末期の虫歯で、歯はほぼ歯根だけになった状態です。 神経が死んでいるため痛みは軽減していますが、歯根の先に膿がたまり始めます。 放置すると顎の骨に細菌が入り込むリスクがあります。
この段階に至ると抜歯が必要になることがほとんどなので、当院ではC3,C4の段階に至らないように計画を立てて患者さまにご提案しております。

治療の流れ

- STEP
初診カウンセリング
お困りの症状やご希望を詳しくお聞きします。
不明な点はどんなことでもお尋ねいただけます。 - STEP
口腔内検査
症状に合わせて必要な検査を行います。原因を明確にするため、様々な角度から検査を実施します。 - STEP
治療
まず口腔内の土台となる骨や歯茎の状態を整えるため、歯周病治療から開始します。歯石除去や歯磨き指導も行います。緊急性の高い痛みを伴う虫歯(C3、C4)の場合は根管治療が必要になります。
当院は患者さまにはゆっくりと治療を受けていただきたいとの想いから、診療室はすべて個室となっております。麻酔をするときは表面麻酔をした上で更に痛くないように針を指し、ゆっくりと注入する方法を取っています。 - STEP
治療後のカウンセリング
治療後、痛みや違和感がないか確認します。
歯の治療時にどうしてもほっぺたの粘膜や口角を引っ張ることがあるので、口唇の周りの保護をお願いします。
患者さまの口腔内の健康維持のために定期検診のスケジュールや口腔内のメンテナンス方法についてもご説明します。
希望ヶ丘歯科クリニック|当院では日々患者さまとの対話や長く口腔内の健康を維持するための提案に重きを置いて治療にあたらせていただいております。
