BLOG
セラミック治療の失敗例と対処法|歯科医が教える後悔しない選び方
セラミック治療とは?美しい歯を手に入れるための選択肢
セラミック治療は、虫歯や破折などで欠損した歯を白い人工素材で補う治療法です。天然歯に近い透明感と美しい白さを持ち、金属アレルギーの心配もないため、近年多くの方に選ばれています。
私は1992年に鶴見大学歯学部を卒業後、新井矯正歯科や武川歯科医院での勤務を経て、2001年に希望ヶ丘歯科クリニックを開院しました。20年以上の臨床経験から、セラミック治療の良さも課題も熟知しています。
セラミック治療は審美性に優れていますが、保険適用外の自由診療であり、費用が高額になることが一般的です。また、歯科医師の技術や使用する素材によって仕上がりや耐久性が大きく変わってきます。
この記事では、セラミック治療の失敗例や後悔するケースを紹介しながら、後悔しないための選び方や対処法について詳しく解説します。これから治療を検討されている方はもちろん、すでに治療を受けて何らかの問題を感じている方にも役立つ情報をお届けします。

セラミック治療で失敗・後悔するケースとは?
セラミック治療は高い審美性と機能性を兼ね備えた優れた治療法ですが、残念ながら失敗例や後悔するケースも存在します。実際の臨床現場で見られる代表的な失敗例をご紹介します。
まず最も多いのは、仕上がりの見た目に関する不満です。「思っていたより白すぎる」「不自然に見える」「周りの歯と色が合わない」といった声をよく耳にします。
セラミックの色調選択は非常に繊細な作業です。単に「白い歯」といっても、実際には無数の色調があります。あなたの肌の色や唇の色、他の歯との調和など、総合的に判断する必要があるのです。
形態や噛み合わせに関する問題
次に多いのが、形態や噛み合わせに関する問題です。「食べ物が挟まりやすくなった」「噛み合わせが高く感じる」「違和感が取れない」といった症状が現れることがあります。
セラミックの形態が不適切だと、食べ物が詰まりやすくなったり、噛み合わせが悪くなったりします。これは単なる不快感だけでなく、将来的に歯周病や顎関節症などの原因になることもあるのです。
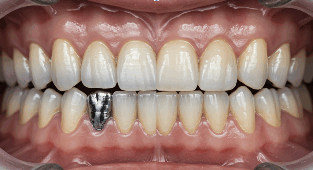
セラミックの破損や脱離
セラミックは非常に硬い素材ですが、使用方法や装着状態によっては破損や脱離が起こることがあります。特に歯ぎしりや食いしばりの強い方は注意が必要です。
「高額な費用を払ったのに数ヶ月で割れてしまった」「噛むと痛みがある」といった訴えは、歯科医師としても心が痛みます。
セラミック治療で失敗しないためには、事前の適切な診査診断と、自分に合った素材選びが重要です。また、治療後のメンテナンスや生活習慣の改善も欠かせません。
セラミック治療失敗の原因と対策
セラミック治療が失敗する原因は様々ですが、主に以下のような要因が考えられます。それぞれの原因と対策について詳しく見ていきましょう。
歯科医院・歯科医師選びの失敗
セラミック治療の成否を左右する最大の要因は、歯科医院・歯科医師選びです。セラミック治療は高度な技術と経験、そして審美眼が求められる治療です。
単に「セラミック治療ができます」と掲げている歯科医院であれば、どこでも同じ結果が得られるわけではありません。実際の症例写真や実績、使用する材料や設備などをしっかりと確認することが重要です。
対策としては、セラミック治療の実績が豊富な歯科医院を選ぶことが第一です。症例写真をチェックし、自分の希望する仕上がりに近い症例を多く手がけている医院を選びましょう。また、カウンセリングの段階で、医師がどれだけ丁寧に説明してくれるかも重要なポイントです。
コミュニケーション不足
「こんなはずじゃなかった」という後悔の多くは、患者さんと歯科医師とのコミュニケーション不足から生じています。希望する色や形、治療後のイメージなどを明確に伝えることが大切です。
良い歯科医師は患者さんの希望をしっかりと聞き、それが実現可能かどうか、また別の選択肢があるかなどを提案してくれます。一方的な説明だけで治療を進める医師は避けた方が無難です。
対策としては、治療前のカウンセリングで自分の希望や不安をすべて伝えることです。「こんなことを言っても大丈夫かな」と遠慮せず、どんな些細なことでも相談しましょう。また、仮歯の段階で色や形に不満がある場合は、必ず伝えることが重要です。
素材選択の誤り
セラミックにはさまざまな種類があり、それぞれ特性が異なります。ジルコニアは強度が高い反面、透明感に欠けることがあります。e.maxは透明感に優れていますが、強い力がかかると割れるリスクがあります。
自分の状態や希望に合わない素材を選択してしまうと、見た目や耐久性に不満が生じる可能性があります。
対策としては、各素材のメリット・デメリットをしっかりと理解し、自分の生活習慣や噛み合わせの状態に合った素材を選ぶことです。歯ぎしりや食いしばりがある方は、強度の高い素材を選ぶべきでしょう。
セラミック治療で後悔しないための7つのポイント
セラミック治療で失敗や後悔をしないために、以下の7つのポイントを押さえておきましょう。これらは私が20年以上の臨床経験から導き出した、最も重要なチェックポイントです。
1. 実績豊富な歯科医院を選ぶ
セラミック治療の実績が豊富な歯科医院を選ぶことが最も重要です。症例写真や患者さんの口コミなどを参考にしましょう。また、セラミック治療専門の設備が整っているかどうかも確認するとよいでしょう。
特に重要なのは、歯科技工士との連携体制です。院内に技工所を持つ歯科医院や、優秀な技工所と密に連携している歯科医院は、細かな調整や修正がスムーズに行えるメリットがあります。
2. 十分なカウンセリングを受ける
治療前のカウンセリングは、セラミック治療の成功を左右する重要なステップです。希望する色や形、治療後のイメージなどを具体的に伝え、医師の提案とすり合わせることが大切です。
良質なカウンセリングでは、単に患者さんの希望を聞くだけでなく、実現可能かどうか、リスクはないか、別の選択肢はないかなどを丁寧に説明してくれます。
「このくらいの白さにしたい」「この部分の形が気になる」など、具体的な希望を伝えましょう。また、不安や疑問点はその場で解消しておくことが重要です。

3. 仮歯の段階でしっかり確認する
セラミック治療では、最終的なセラミックを装着する前に「仮歯」の段階があります。この仮歯は、最終的な形や色、噛み合わせを確認するための重要なステップです。
仮歯の段階で違和感や不満がある場合は、必ず歯科医師に伝えましょう。この段階での修正は比較的容易ですが、最終的なセラミックを装着した後の修正は困難な場合が多いです。
特に色や形、噛み合わせについては、日常生活の中でしっかりと確認することが大切です。「笑ったときに見える」「話すときに違和感がある」など、具体的な状況での感想を伝えると、より的確な調整が可能になります。
4. 自分に合った素材を選ぶ
セラミックにはさまざまな種類があり、それぞれ特性が異なります。自分の状態や希望に合った素材を選ぶことが、長期的な満足度につながります。
例えば、歯ぎしりや食いしばりが強い方は、強度の高いジルコニアが適しています。前歯など見た目を重視する部位では、透明感のあるe.maxなどが適しているでしょう。
素材選びは専門的な知識が必要なため、歯科医師の説明をよく聞き、自分の生活習慣や優先したい点(見た目か耐久性か)などを伝えた上で決定することをおすすめします。
5. 費用と保証内容を確認する
セラミック治療は保険適用外の自由診療であり、費用が高額になることが一般的です。治療前に詳細な見積もりを出してもらい、追加費用が発生する可能性についても確認しておきましょう。
また、保証内容も重要なポイントです。セラミックが破損した場合や脱離した場合の対応、保証期間などを事前に確認しておくことで、万が一のトラブル時も安心です。
良心的な歯科医院では、一定期間内の破損や脱離に対して無償または割引価格で対応してくれることが多いです。ただし、保証を受けるためには定期的なメンテナンスが条件となる場合もあります。
6. 治療後のメンテナンスを怠らない
セラミック治療は装着して終わりではありません。長期的に美しさと機能を維持するためには、定期的なメンテナンスが欠かせません。
セラミック自体は虫歯にはなりませんが、セラミックと歯の境目は虫歯や歯周病のリスクが高まります。定期的な検診とクリーニングで、問題を早期に発見・対処することが重要です。
また、歯ぎしりや食いしばりがある方は、ナイトガード(マウスピース)の使用も検討しましょう。セラミックの破損を防ぐだけでなく、顎関節への負担も軽減できます。
7. 生活習慣の見直しも重要
セラミック治療の長期的な成功には、生活習慣の見直しも重要です。特に硬いものを頻繁に噛む習慣や、歯ぎしり・食いしばりは、セラミックの破損リスクを高めます。
また、喫煙や着色性の強い飲食物(コーヒー、赤ワイン、カレーなど)の過剰摂取は、セラミックの変色の原因となることがあります。セラミック自体は変色しにくいですが、接着剤や周囲の天然歯が変色すると、見た目のバランスが崩れることがあります。

セラミック治療の種類と特徴を知って最適な選択を
セラミック治療にはさまざまな種類があり、それぞれ特徴が異なります。自分に最適なセラミック治療を選ぶためには、それぞれの特徴を理解することが重要です。
オールセラミッククラウン
オールセラミッククラウンは、金属を一切使用せず、セラミックのみで作られた被せ物です。天然歯に近い透明感と美しさが特徴で、前歯の審美治療に適しています。
オールセラミッククラウンは、金属アレルギーの心配がなく、歯茎の変色も起こりにくいというメリットがあります。一方で、保険適用外のため費用が高額になることや、素材によっては強い力がかかると割れるリスクがあることがデメリットです。
ラミネートベニア
ラミネートベニアは、歯の表面を薄く削り、その上に薄いセラミックを接着する治療法です。歯の形や色を改善したい場合に適しており、削る量が少なくて済むのが特徴です。
特に前歯の色や形、隙間が気になる場合に適しています。歯の削除量が少ないため、神経を取る必要がなく、治療後の痛みや知覚過敏のリスクも低いというメリットがあります。
ただし、強い力がかかると割れやすいこと、変色した歯の場合は下地の色が透けて見えることがあるというデメリットもあります。また、歯ぎしりや食いしばりが強い方には不向きな場合があります。
セラミックインレー
セラミックインレーは、虫歯や古い詰め物を除去した後の穴を埋めるセラミックの詰め物です。金属の詰め物と比べて見た目が自然で、金属アレルギーの心配もありません。
特に小〜中程度の虫歯治療や、古い詰め物の交換に適しています。見た目が自然で、金属のような温度変化による痛みが少ないというメリットがあります。
デメリットとしては、保険適用外のため費用が高額になることや、大きな虫歯の場合は適さないことがあります。また、精密な適合が求められるため、歯科医師の技術や設備によって仕上がりに差が出やすいという特徴もあります。
ジルコニアセラミック
ジルコニアセラミックは、高い強度を持つ新世代のセラミック素材です。金属並みの強度を持ちながら、見た目は天然歯に近い美しさを実現できます。
特に奥歯や、歯ぎしり・食いしばりが強い方に適しています。強度が非常に高く、割れにくいというメリットがあります。また、金属アレルギーの心配もありません。
デメリットとしては、透明感が他のセラミックよりやや劣ることや、非常に硬いため対合歯(噛み合う歯)を摩耗させる可能性があることが挙げられます。また、保険適用外のため費用が高額になります。
まとめ:セラミック治療で後悔しないために
セラミック治療は、適切に行われれば美しく自然な歯を取り戻し、長期間にわたって機能と審美性を維持できる素晴らしい治療法です。しかし、歯科医院選びや治療計画、アフターケアなど、さまざまな要素が成功の鍵を握っています。
セラミック治療は決して安い買い物ではありません。だからこそ、「安かろう悪かろう」にならないよう、しっかりと情報収集し、納得のいく治療を受けることが大切です。
私たち希望ヶ丘歯科クリニックでは、患者さん一人ひとりに合わせたセラミック治療を提供しています。カウンセリングから治療、アフターケアまで一貫したサポート体制で、患者さんの「美しい笑顔」をサポートします。
詳しい情報や無料カウンセリングのご予約は、希望ヶ丘歯科クリニックのホームページをご覧ください。美しい笑顔への第一歩を、私たちと一緒に踏み出しましょう。
院長 武川 陽子

メッセージ
郡山市大槻町にある希望ヶ丘歯科クリニックで院長をしております武川陽子です。
私たちは、2001年の開院以来、地域に密着した歯科医院として患者様に寄り添った治療を続けて参りました。
患者様ひとりひとりに合った治療を心掛けており、その治療法の決定のため綿密にカウンセリングしております。
また、治療に関しては、不安を払拭すべく丁寧な説明も心掛けております。
歯の治療に関することなら、まずはご来院ください。
経歴
1992年 鶴見大学歯学部 卒業
1992年 新井矯正歯科(立川市) 勤務
1995年 武川歯科医院(港区) 開院
2001年 希望ヶ丘歯科クリニック 開院
現在に至る
